走最難的路 完成不可能的事

心臟血管外科-楊凱文 醫師

不斷跳動的心臟,是手術刀最後抵達的禁區之一
而我們天天所面對的,都是心肌梗塞、主動脈剝離這些與死神拔河的疾病,稍一不慎,就是可能直接威脅到病患的生命安全,對醫師的體力、耐力、經驗、心智等有著嚴苛考驗。所以心臟外科,在醫師的養成過程中,是一條很漫長的路,光是學習歷程,就要先經歷過一般外科訓練兩年,要成為心臟外科次專科醫師還要至少額外訓練三至四年。
要能在“心尖上”行走,提供病患完整的整合治療方案,我除了傳統的心臟手術,還有接受完整的血管外科訓練,也精進在各種微創血管腔內手術。走最難的路 完成不可能的事! 我知道只有堅持著精益求精,以共享決策 「患」位思考,就能為患者撐起「心」的天空!

現職

-台北慈濟心臟外科主治醫師

經歷

- 臺大醫院不分科住院醫師
- 臺大醫院外科部住院醫師
- 臺大醫院心臟血管外科住院醫師/總醫師
- 台北慈濟醫學中心 心臟外科主治醫師

臨床專長

-成人心臟手術(冠狀動脈繞道/瓣膜修補及置換/心臟腫瘤切除等)
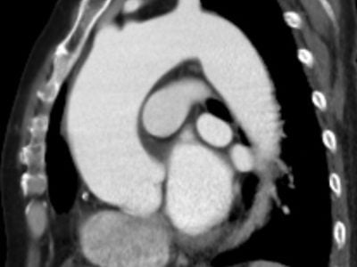
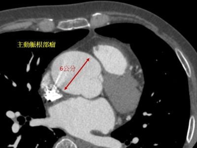
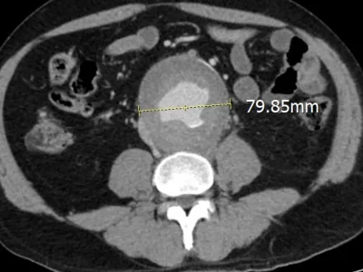
-主動脈手術(主動脈剝離/主動脈瘤之傳統及微創支架治療)
-周邊血管手術(靜脈曲張/化療及靜脈營養管路/各式洗腎通路之建立及維護/靜脈栓塞/動脈阻塞)
-心血管重症及心臟衰竭之治療及照護、葉克膜

學歷

- 英國Newcastle University醫學系
- 英國Newcastle University 醫學研究所碩士
- 臺灣大學臨床醫學研究所博士班

學會與專科認證

- 中華民國外科專科醫師
- 台灣血管外科學會專科醫師
- 台灣胸腔及心臟血管外科學會專科醫師
- 中華民國心臟學會會員
- 台灣靜脈學會會員
- 台灣急救加護學會會員
- 台灣體外循環學會會員

論文發表

證書

獎狀

媒體採訪

不能只會救治,還要懂得救心

在人生的賽道上 拼搏有你守護有我

我絕不輕言放棄,這份治療希望是乘載我與病患共同決策後的幸福美滿